脊椎・脊髄疾患について
脊椎とは体を支える骨であり、これらは靱帯や椎間板(骨の間のクッション)で結合しています。脊椎の中には脊柱管(骨のトンネル)や脊髄(神経)が通っています。脊椎・脊髄疾患はこれらの部位が生活習慣・スポーツ・老化・遺伝など、様々な原因で障害を起こし、症状(痛み・痺れ・麻痺)が出現します。
その中でも、腰椎は年代によってかかりやすい疾患は異なり、主に次のように分けられます。
・10歳代:成長期腰椎分離
・20~50歳代:腰椎椎間板ヘルニア
・50~70歳代:脊柱管狭窄症、骨粗鬆症性脊椎圧迫骨折
・30~50歳代の女性:仙腸関節障害
当院では、脊椎、脊髄疾患に対して保存療法(生活指導・装具療法・ブロック注射・リハビリテーション)、症状によっては手術を施行します。
以下のページでは代表的な脊椎・脊髄疾患ついて詳しくご紹介します。
- 代表的な脊椎・脊髄疾患
また、頚椎疾患は、加齢や姿勢の変化により起こることが多く、手足の痛みやしびれによる動きにくさ、歩きにくさといった神経症状が特徴です。
代表的な疾患としては、頚椎症性頚髄症や後縦靭帯骨化症(OPLL)があります。
・40~50歳代以降:頸椎の変形による神経圧迫(頚椎症性頚髄症)
・中高年以降:靱帯が骨化して神経を圧迫(後縦靭帯骨化症)
当院では、こうした頚椎の疾患に対して、手術の有無に関わらず、痛みやしびれの軽減・日常生活の改善を目指した包括的なリハビリテーションを行っています。
医師とリハビリスタッフが連携し、術前から術後まで一貫したサポート体制で回復を支えます。
以下のページでは、代表的な頚椎疾患について詳しくご紹介します。
- 代表的な頚椎疾患
各病態
腰椎椎間板ヘルニア
しびれと痛みを軽減し、再発を防ぐ
保存療法から手術後リハビリまで一貫して支援します。
対象:中高年、デスクワーカー、スポーツ歴のある方
「こんな症状はありませんか?」
- 座っているとお尻や足がしびれる
- 長く歩くと足がだるくなる
- 前に屈むと痛みが増す
- 中腰作業で痛みが出る
いくつか当てはまる場合は、腰椎椎間板ヘルニアの可能性がありますので受診をおすすめします。
受診の目安
以下のような症状がある場合は整形外科の受診を検討してください。
- 排尿・排便障害
- 痺れや脱力感による歩行困難
- 安静時の強い痛み
当院の強み・特徴
専門医の診断と個別評価・リハビリ
専門医による診断と理学療法士による個別価やリハビリを実施し、神経圧迫による症状に対して多角的にアプローチします。
手術と外来定期評価
術前や入院中のリハビリ、外来定期評価を実施し、長期的な機能改善を支援します。
姿勢指導とエビデンスに基づいた運動療法
姿勢や動作を評価し、必要な体幹・下肢機能を向上するために運動療法を実施します。また、ヘルニアに対する腰痛体操を指導します。
腰椎椎間板ヘルニアとは
腰椎に過度な前屈ストレスがかかり、椎間板内にある髄核が押し出されることをヘルニアと言います。
髄核が神経を圧迫すると様々な症状が出現します。
また、悪い姿勢での動作や作業、喫煙などでヘルニアが起こりやすくなることが知られています。

主な症状
・腰部や臀部に局所的な痛み
・足に放散的に痛みや痺れ
・下肢の中でも特に足首に麻痺(筋力低下など)の症状
原因とリスク
・加齢
・不良姿勢
・繰り返される前屈動作による椎間板変性
・デスクワークや重労働、スポーツ
検査と診断の流れ
レントゲン・MRI・CT・ミエログラフィーによる画像所見と神経所見、感覚検査、筋力測定などを行います。
治療の選び方
- 保存療法
-
- 適応
- 軽症〜中等度で神経圧迫が軽い場合
- 内容
- 姿勢指導、体幹筋トレーニング、ストレッチなど
- 通院期間
- 週1回を目安に1〜3か月
- メリット
- 再発予防や姿勢改善に効果的
- 留意点
- 継続的な取り組みが必要です。
- 注射・薬物療法
-
- 適応
- 保存療法で改善が乏しい場合
- 内容
- 神経根ブロック注射や鎮痛薬メリット:短期間で痛みを軽減
- 留意点
- 一時的な効果にとどまることがあります。
- 手術療法
-
- 適応
- 神経麻痺や強い痛み、歩行障害がある場合
- 内容
- 椎間板摘出術、内視鏡下手術など
- 通院・入院期間
- 入院1~2週間
- メリット
- 圧迫を除去し、根本的な改善を図ります。
- 留意点
- 術後リハビリが必要です。
手術後のリハビリの内容

体幹のインナーマッスルのトレーニング

一人ひとりの運動レベルに合わせた運動指導
姿勢改善


疼痛の原因の一つである椎間板への負担を減らすために生活・仕事上の動作の修正など
【自宅でできる運動】
うつ伏せになり、腰椎を反らせる方向に体を起こす。(マッケンジー体操)
※痛みや痺れの強い方はリスクが伴うため、医師や理学療法士の指示のもと行う必要があります。
よくある質問(Q&A)
- Q1ハビリはどのくらい通いますか?
- 週1回を目安に、症状に応じて1〜3か月継続します。
- Q2手術は必要ですか?
- 排尿・排便障害や神経症状が強く、保存療法で改善が見られない場合検討します。
- Q3再発を防ぐには?
- 姿勢の改善と体幹トレーニングを継続することが最も重要です。
最終更新日:2025年10月
出典:日本整形外科学会 腰椎疾患ガイドライン/当院臨床データ/理学療法士監修
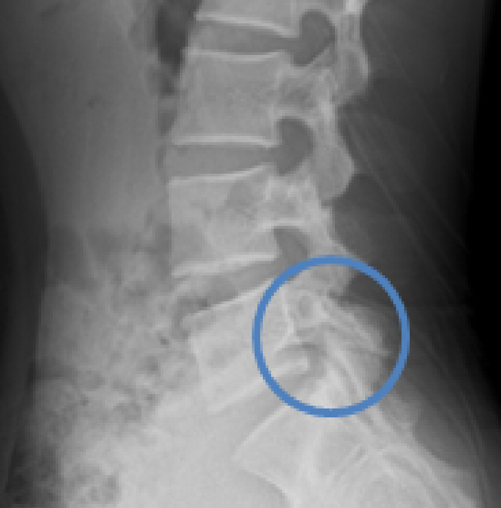
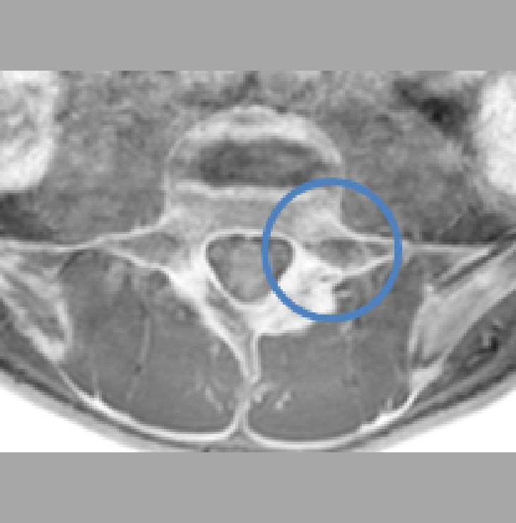
腰部脊柱管狭窄症
歩くとつらい足のしびれを軽減し、再び動ける日常へ
保存療法から手術後リハビリまで一貫して支援します。
対象:立ち仕事、長時間歩行で症状が出る方
「こんな症状はありませんか?」
- 長く歩くと足がしびれて休みたくなる
- 前かがみになると楽になる
- 立ち続けていると足がだるくなる
- 足先に冷感やしびれがある
- 歩行距離が以前より短くなった
いくつか当てはまる場合は、腰部脊柱管狭窄症の可能性がありますので受診をおすすめします。
受診の目安
以下のような症状がある場合は整形外科の受診を検討してください。
- 排尿・排便障害
- 急な下肢脱力や感覚消失
- 安静時にも強い痛み
当院の強み・特徴
専門医の診断と個別評価・リハビリ
専門医による診断と理学療法士による個別評価やリハビリを実施し、神経圧迫による症状に対して多角的にアプローチします。
手術と外来定期評価
術前や入院中のリハビリ、外来定期評価を実施し、長期的な機能改善を支援します。
姿勢指導とエビデンスに基づいた運動療法
姿勢や動作を評価し、必要な体幹・下肢機能を向上するために運動療法を実施します。正しい姿勢や動作を獲得することで症状の改善を図ります。
腰部脊柱管狭窄症とは
加齢、労働、あるいは背骨の病気による影響で椎間板や靭帯の膨らみ、背骨や椎間関節から突出した骨などにより神経が通っている骨のトンネルが狭くなる(狭窄)ことを言います。

主な症状
・歩行や立位で下肢のしびれ・だるさ
・前かがみで休むと軽くなる
・腰部や臀部の痛み、痺れ足先の冷感・感覚鈍麻
・長時間立位や後ろ反りでの症状悪化

原因とリスク
・加齢
・椎間板の変性
・骨や靱帯の肥厚
・腰の反り姿勢
・肥満
検査と診断の流れ
・問診、診察ののち、X線・MRI・エコーで評価を行います。
・必要に応じて間欠性跛行テストやミエログラフィーを行います。
治療の選び方
- 保存療法
-
- 適応
- 軽症〜中等度の神経圧迫、歩行と休憩を繰り返す間欠性跛行が軽度の方
- 内容
- 体幹筋トレーニング、姿勢改善指導、ストレッチ、温熱療法など
- 通院期間
- 週1回/約3か月
- メリット
- 狭窄による症状軽減や歩行距離の改善
- 留意点
- 症状の進行を防ぐため、継続的な通院が必要です。
- 注射・薬物療法
-
- 適応
- 保存療法で効果が不十分な場合
- 内容
- 神経根ブロック、硬膜外ブロック、消炎鎮痛薬の併用
- メリット
- 短期間で症状を軽減
- 留意点
- 一時的な効果にとどまることがあります。
- 手術療法
-
- 適応
- 歩行距離の著しい短縮、下肢麻痺・排尿障害がある場合
- 内容
- 除圧術(椎弓切除・椎弓形成)や固定術(不安定性がある場合)
- 入院・通院期間
- 入院1~2週間
- メリット
- 神経圧迫の根本改善
- 留意点
- 術後リハビリにより筋力維持が必要です。
手術後のリハビリの内容
姿勢改善


腰を反り過ぎてしまうことで症状が増悪する方が多いため、反り腰の改善を行います。壁にもたれて腰が浮かないようにお腹に力を入れる運動などを実施します。
よくある質問(Q&A)
- Q1リハビリはどのくらい通いますか?
- 週1回を目安に、3か月ほど継続します。症状に応じて調整します。
- Q2手術が必要になるのはどんな場合ですか?
- 行距離が極端に短い場合や、麻痺・排尿障害が出た場合に検討します。
- Q3再発を防ぐにはどうすれば良いですか?
- 姿勢の改善と体幹筋トレーニングを継続することが重要です。
最終更新日:2025年10月
出典:日本整形外科学会 腰部脊柱管狭窄症ガイドライン/当院臨床データ/理学療法士監修
仙腸関節障害
腰やお尻の痛みを軽くし、座る動作を楽にする
保存療法から再発予防リハまで一貫支援します。
対象:中高年/長時間座位・デスクワーク・産後の方/スポーツ(ランナー・ゴルファー)など
「こんな症状はありませんか?」
- 座っていると腰から臀部が痛くなる
- 片側の腰やお尻にピンポイントで痛みがある
- 寝返り・立ち上がり・階段でズキッとする痛みが足まで広がる
- 産後から腰〜骨盤の痛みが続いている
いくつか当てはまる場合は、仙腸関節障害の可能性がありますので受診をおすすめします。
当院の強み・特徴
画像・ブロック注射・整形外科テストによる評価
MRIやレントゲンに加え、ブロック注射による痛みの変化や仙腸関節テストを組み合わせて原因を正確に評価します。
運動療法と衝撃波の併用
腹横筋を中心とした体幹トレーニングで骨盤安定化を促し、収束型体外衝撃波や拡散型圧力波治療を用いて痛みの軽減を図ります。
装具による骨盤の安定化
SIベルトやリラインコアなどを用いて骨盤を支え、日常生活からスポーツ時の正しい姿勢やフォームの指導を行います。
腰を反り過ぎてしまうことで症状が増悪する方が多いため、反り腰の改善を行います。壁にもたれて腰が浮かないようにお腹に力を入れる運動などを実施します。


リラインコア
仙腸関節障害とは
仙腸関節は後方を強靱な骨間仙腸靱帯および後仙腸靱帯で結合されており、可動域が小さく、その関節面は荷重線に対して垂直に近く、荷重に対して剪断力を生じやすい構造となっています。
仙腸関節障害は中腰での作業や不用意な動作、反復性の作業で繰り返しの負荷により骨盤周囲の筋の協調性に破綻が生じると関節に微小なずれが生じます。その結果、運動制限等の機能障害が起こり、疼痛が発生すると考えられています。

主な症状
・腰の付け根付近(上前腸骨棘:PSIS)の痛み
・椅子に座ると痛む
・鼠径部や太ももの外側の痛み
上後腸骨棘(PSIS)付近にピンポイントで痛みが出現することが特徴です。

鼠径部の痛みも特徴です

原因とリスク
・中腰姿勢
・長時間座位
・出産
・スポーツ動作
検査と診断の流れ
・問診・触診・仙腸関節テスト
・画像検査:X線/CT/MRI
・仙腸関節ブロックによる診断的治療
→ これらを組み合わせて、他疾患との鑑別を行います。
治療の選び方
- 保存療法
-
- 適応
- 軽〜中等度の疼痛
- 通院期間
- 週1回/1〜3か月
- メリット
- 姿勢・筋力を改善し再発を防ぐ
- 留意点
- 継続的なリハが必要
- ブロック注射
-
- 適応
- 痛みが強い場合
- メリット
- 早期の痛み緩和
- 留意点
- 効果は一時的
【自宅でできる運動】
仰向けの姿勢で両膝を曲げた状態から腹部を軽く凹ませ、ゆっくり呼吸を行います。凹ませる力加減は20~30%くらいの力で行うようにします。
よくある質問(Q&A)
- Q1どのくらい通えば良いですか?
- 目安は週1回、1〜3か月。症状に応じて間隔を調整します。
- Q2再発を防ぐには?
- 姿勢と骨盤の安定が鍵です。インナーマッスルを鍛え、良い座位姿勢を維持しましょう。
最終更新日:2025年10月
出典:日本整形外科学会 仙腸関節障害診療ガイドライン/厚生労働省 e-ヘルスネット/当院臨床データ・理学療法士監修資料(2025)
成長期腰椎分離症
スポーツを続けながら回復を目指すリハビリサポート
保存療法から競技復帰まで一貫支援します。
対象:中高生アスリート(野球・サッカー・体操・陸上などの競技者)
「こんな症状はありませんか?」
- スポーツ中に腰の痛みを感じる
- 体を反らしたり、ひねると痛い
- 休むと一時的に楽になるが、練習再開で再発する
- 痛みでプレーのパフォーマンスが落ちている
- ストレッチやマッサージでも改善しない
いくつか当てはまる場合は、成長期腰椎分離症の可能性がありますので受診をおすすめします。
当院の強み・特徴
画像診断と動作分析
MRI・CTによる骨評価に加え、フォームや動作分析を行い原因となる動作を特定します。
運動療法と最新の治療機器
術前や入院中のリハビリ、外来定期評価を実施し、長期的な機能改善を支援します。
姿勢指導とエビデンスに基づいた運動療法
機能的な部分を評価し適切な運動療法を実施、タイトネスなどには拡散型圧力波などを使用し改善を促進します。
成長期腰椎分離症とは
成長期腰椎分離症はスポーツにおける腰部障害の中で頻発しやすい疾患の一つです。病態としては、繰り返される腰椎への伸展、回旋ストレスが関節突起間部に集中し、疲労骨折を起こす事とされています。症状としては他の腰痛症と同じような腰痛が発生するため、鑑別には画像所見が必要とされています。



主な症状
・スポーツ中の腰痛(特に伸展・回旋動作時)
・殿部や大腿後面への放散痛
・動作開始時や練習後に痛みが強くなる
・安静で軽減するも再発を繰り返す
原因とリスク
・繰り返しの腰部伸展・回旋ストレス
・腰を反る動作が多い競技で発生しやすい
検査と診断の流れ
・レントゲン、CT、MRIを用いて分離部位や骨癒合の状態を確認します。
・MRIは初期分離の早期発見に有用です。
治療の選び方
- 保存療法
-
- 適応
- 軽度〜中等度の分離症
- 内容
- 安静・装具固定・体幹トレーニング・姿勢修正
- 通院期間
- 週1回を目安に2〜3か月
- メリット
- 自然治癒を目指しながら競技復帰を可能にする
- 留意点
- 痛みがある間は競技制限が必要
リハビリの内容


ハムストリングスや腸腰筋など下肢のストレッチを行います。


ドローインやプランクなどで体幹筋力の向上を図ります。
病期別の治療方針
- 初期
- 骨癒合と痛みのコントロールが大切。体幹トレーニングや下肢・体幹ストレッチなど安全な運動を行います。
- 進行期
- 下肢・体幹機能の向上や柔軟性改善を進めていき、スムーズな競技復帰を目指します。
- 終末期
- 競技特性に合わせた動作訓練を行い、腰痛の再発や分離の進行が起きないようにストレッチやトレーニングを行っていきます。
よくある質問(Q&A)
- Q1どのくらいで競技に復帰できますか?
- 骨癒合が得られるまでの目安は2~3か月ですが骨の状態や症状によって異なります。
- Q2痛みが取れたらすぐ練習していいですか?
- 痛みがなくても骨癒合が不十分な場合があります。必ず医師・理学療法士の判断を仰ぎましょう。
- Q3再発を防ぐには?
- 体幹強化とフォーム改善が鍵です。日常姿勢やトレーニングフォームを意識しましょう。
最終更新日:2025年10月
出典:日本整形外科学会 成長期腰椎分離症ガイドライン/厚生労働省 e-ヘルスネット/当院臨床データ・理学療法士監修資料(2025)
骨粗鬆症性脊椎圧迫骨折
痛みを抑え、動ける毎日を取り戻す
保存療法からリハビリまで一貫支援します。
対象:高齢者、骨粗鬆症を指摘された方、転倒・尻もち後に痛みが続く方
「こんな症状はありませんか?」
- 転倒や尻もちのあとに背中や腰が強く痛む
- 寝返りや立ち上がりがつらい
- 背中が丸くなったと感じる
- 身長が縮んだ気がする
- 寝ていても痛みが続く
いくつか当てはまる場合は、骨粗鬆症性脊椎圧迫骨折の可能性がありますので受診をおすすめします。
当院の強み・特徴
画像診断と理学療法士の連携
MRIやX線で骨折の状態を把握し、理学療法士が痛みと動作の両面からリハビリを実施。より的確で安全な回復をサポートします。
早期離床と再骨折予防プログラム
安静にしすぎず、骨折部を保護しながら早期に動作練習を開始します。再骨折を防ぐ運動指導も行い、安心して動ける身体づくりを目指します。
骨粗鬆症治療と適切な環境の調節
医師・看護師・セラピストが連携し、生活指導や環境調節を組み合わせた総合的なサポートを行います。
骨粗鬆症性脊椎圧迫骨折とは
尻もちをつく程度の比較的弱い外力によって生じる脊椎の椎体部分が潰れるような骨折のことを言います。
胸椎と腰椎の移行部あたりに起こることが多いです。

主な症状
・背中や腰の局所的な痛み
・寝返りや立ち上がりで痛みが増す
・動作困難や起き上がり動作の制限
・背中が丸くなる、身長が縮む
主な症状は、骨折部の痛みです。高齢者の場合、痛みによる動作困難で寝たきりになることがあります。
原因とリスク
・骨粗鬆症による骨の強度の低下
・軽い転倒や尻もち
・高齢の女性
・長期のステロイド使用
検査と診断の流れ
・レントゲン、CT、MRIで骨折部位や骨の変形を確認します。
・必要に応じて骨密度(DXA)検査を行い、骨粗鬆症の進行度を評価します。
治療の選び方
- 保存療法
-
- 適応
- 軽〜中等度の圧迫骨折
- 内容
- 安静、コルセット固定、除痛・リハビリ
- メリット
- 自然治癒を促し、再骨折予防ができる
- 留意点
- 長期安静による筋力低下に注意
- 手術療法
-
- 適応
- 神経症状や骨癒合不良がある場合
- 内容
- 椎体形成術(BKPなど)
- 入院期間
- 2週間~
- メリット
- 早期離床が可能
- 留意点
- 適応の見極めが重要
よくある質問(Q&A)
- Q1痛みが取れたらすぐ運動をしてもいいですか?
- 痛みがなくても骨癒合が不十分な場合があります。必ず医師・理学療法士の判断を仰ぎましょう。
- Q2再発を防ぐには?
- 日常生活での姿勢や体幹筋力の強化、転倒予防が重要です。
最終更新日:2025年10月
出典:日本整形外科学会 骨粗鬆症性脊椎圧迫骨折ガイドライン/厚生労働省 e-ヘルスネット/当院臨床データ・理学
頚椎症性脊髄症
痛みやしびれによる動かしにくさの改善を目指していきます。
自分らしい生活のためにできることをチーム医療でサポート
対象:中高年・デスクワーカー・スポーツ歴のある方
「こんな症状はありませんか?」
- 手がしびれ、ボタンや箸の操作が難しくなった
- 足が突っ張る・歩くとふらつく
- 首を後ろに倒すと腕や背中がしびれる、痛みが出る
いくつか当てはまる場合は、頚椎症性脊髄症の可能性がありますので受診をおすすめします。
受診の目安
以下のような症状がある場合は整形外科の受診を検討してください。
- 手足の脱力、しびれ、歩きにくさや引っかかり
- 排尿・排便障害
当院の強み・特徴
症状に合わせた個別リハビリでサポートします。
作業療法士がしびれや手の使いにくさに合わせた個別プログラムでサポートします。
姿勢を整えながら、日常生活動作のしやすさに繋げていきます。
首にやさしい姿勢や動作を身につけ、日常の“しやすくなった”を感じていただけることを目指します。
術後まで一貫した回復支援体制
医師と連携して術前から術後まで機能評価を継続し、一貫した支援を行います。
画像や神経所見を統合した診断
MRI・レントゲンに加え、感覚・筋力テストを組み合わせて評価します。
頚椎症性脊髄症とは
尻もちをつく程度の比較的弱い外力によって生じる脊椎の椎体部分が潰れるような骨折のことを言います。
胸椎と腰椎の移行部あたりに起こることが多いです。

主な症状
・手足のしびれ・脱力
・指先の不器用さ(ボタン・箸・書字)
・歩行のふらつき・突っ張り感
・首・肩・背中の痛みやこり
・排尿・排便のしにくさ(進行例)
原因とリスク
・加齢による頚椎(首の骨)や椎間板の変形
・姿勢不良
・長時間のデスクワーク
・外傷歴
検査と診断の流れ
レントゲン・MRI・CT・ミエログラフィーによる画像所見と神経所見、感覚検査、筋力測定などを行います。
治療の選び方
- 保存療法
-
- 適応
- 軽症〜中等度
- 内容
- リハビリ・姿勢改善
- メリット
- 身体負担が少ない
- 留意点
- 根本的な治療ではない
- 薬物療法
-
- 適応
- 痛み・しびれが強い場合
- 内容
- 鎮痛薬・神経ブロック
- メリット
- 即効性がある
- 留意点
- 効果は一時的
- 手術療法
-
- 適応
- 歩行障害・神経障害進行例
- 内容
- 椎弓形成術などで圧迫解除
- メリット
- 根本的な圧迫除去
- 入院期間
- 約2週間
手術後のリハビリの流れ
- 手術〜1週
- 安静・痛み管理、姿勢訓練を実施し炎症軽減を図る。
- 1〜2週
- 姿勢訓練・筋力強化を実施し首の動きと安定性の回復を図る。
- 退院後
- 自主トレーニング中心に実施し脊柱柔軟性獲得、筋力強化し症状悪化予防や自己管理力を高める。
- ■保存療法(リハビリテーション)の流れ
- 保存療法では、良姿勢獲得のための柔軟性獲得、筋力強化、首に負担がかからない動作の獲得を目指して進めていきます。
- 自宅運動例:
椅子に座り背筋を伸ばして顎を軽く引く「頚椎リトラクション運動」
(1日3回×10秒)
※実際には一人一人の症状により変更があります。
よくある質問(Q&A)
- Q1手術は必要ですか?
- 多くの方はまず保存療法を行います。進行例では手術を検討します。
- Q2仕事復帰の目安は?
- 軽作業は2週、重労働は3か月程度が目安です。
- Q3再発を防ぐには?
- 姿勢改善と頚部筋力の維持が重要です。療法士が指導します。
最終更新日:2025年10月22日
頚椎後縦靱帯骨化症(OPLL)
ひとりで悩まず、できることがあります!!!
保存療法から手術・術後リハビリテーションまで一貫して支援します
対象:中高年・男性に多い傾向
「こんな症状はありませんか?」
- 首肩のこりや痛みが慢性的にある
- 手足のしびれ、ボタンや箸が使いにくい
- 歩くと足が突っ張り、階段の昇降がつらい
いくつか当てはまる場合は、頚椎後縦靭帯骨化症の可能性がありますので受診をおすすめします。
受診の目安
以下のような症状がある場合は整形外科の受診を検討してください。
- 手足の脱力、しびれ、歩きにくさや引っかかり
- 排尿・排便障害
当院の強み・特徴
定期評価を通して経過を把握し、進行の抑制を図ります。
MRIで骨化の範囲を定期的に評価し、進行をモニタリングします。
保存期でも姿勢・筋力訓練で進行抑制を図ります。
術後リハビリをチーム医療で継続サポート
術後の疼痛緩和と生活動作の再獲得をサポートします。
患者さんの「不安ゼロ」を目指す説明体制
画像・検査結果を用いて、病態を可視化。
「なぜ進行するのか」「どの時点で手術を検討するか」を丁寧に説明します。
頚椎後縦靭帯骨化症とは
後縦靱帯骨化症とは、頸椎を縦につないでいる後縦靱帯が通常の何倍もの厚さになって骨の様に硬くなり、徐々に脊髄を圧迫してくる病気で指定難病されています(指定難病69)。
主な症状
・首・肩のこりや痛み
・手足のしびれ、痛み
・手指の使いにくさ(細かい動作困難)
・歩行障害、転倒しやすい
・排尿・排便障害(進行例)
原因とリスク
・加齢
・遺伝
・糖代謝異常
・日本人男性に比較的多い
※原因は明確ではありません
検査と診断の流れ
問診 → 神経学的診察 → X線・CT・MRI
・化範囲と脊髄圧迫の程度を評価
・進行度により治療方針を決定
治療の選び方
- 保存療法
-
- 適応
- 軽症・進行が緩やか
- 内容
- 経過観察・薬・リハビリ
- メリット
- 身体への負担が少ない
- 留意点
- 身体への負担が少ない
- 手術療法
-
- 適応
- 神経症状の進行例
- 内容
- 前方または後方除圧術
- 入院期間
- 2週間
- メリット
- 圧迫を根本的に除去
手術後のリハビリの流れ
- 手術〜1週
- 安静・痛み管理、姿勢訓練を実施し神経症状の安定化を図る。
- 1〜2週
- 姿勢訓練・筋力強化を実施し首の動きと安定性の回復を図る。
- 退院後
- 自主トレーニング中心に実施し脊柱柔軟性獲得、筋力強化し症状悪化予防や自己管理力を高める
- ■保存療法(リハビリテーション)の流れ
- 保存療法では、良姿勢獲得のための柔軟性獲得、筋力強化を中心に、首に負担がかからない動作を獲得し、過ごしやすい日常生活動作を目指します。
- 自宅運動例:
軽く顎を引いて頭を支える「頚部等尺性収縮運動」
(首を動かさず押し返すイメージで5秒×3セット)
※実際には一人一人の症状により変更があります。
よくある質問(Q&A)
- Q1一生付き合う病気ですか?
- 骨化自体は進行性ですが、早期発見とリハで症状の進行を抑えられます。
- Q2手術は必ず必要?
- 神経症状が進行する場合に限り検討します。軽症例は保存療法が中心です。
- Q3仕事や運動は続けられますか?
- 安定していれば可能です。姿勢と首への負担軽減がポイントです。
最終更新日:2025年10月22日


