股・膝関節外科について
股関節と膝関節は、体重を支えるためにとても重要な関節です。
股関節の疾患には、先天的な疾患である臼蓋形成不全や変形性股関節症など、小児から高齢者まで多岐にわたる疾患があります。膝関節は半月板損傷や変形性膝関節症、大腿骨頭壊死などの疾患があります。
当院では、多様な股・膝関節疾患に対して、患者様一人ひとりの状態に合わせた保存療法・運動療法・薬物療法・手術を組み合わせ、日常生活の動作改善を目指とした包括的な治療を行っています。
以下のページでは、代表的な股・膝関節疾患について詳しくご紹介します。
各病態
変形性膝関節症
痛みを軽減し、歩きやすさを取り戻すためのリハビリと治療
保存療法~術後リハビリまで一貫支援
対象:股関節の痛みで歩行が困難な方
「こんな症状はありませんか?」
- 歩き始めのズキッとした痛み
- 階段の昇り降りがつらい
- 靴下が履きにくい
いくつか当てはまる場合は、“変形性股関節症”の可能性がありますので受診をおすすめします。
当院の強み・特徴
経験豊富な理学療法士による個別リハ
専門医の指示のもと、個人個人の状態に合わせて、可動域訓練、筋力トレーニング、歩行訓練等を行っていきます。
保存療法から手術・術後リハまで一貫支援
保存療法から術後の入院リハ、外来リハまで当院で実施する途切れのないフォロー体制を整えています。
変形性膝関節症とは
加齢により、関節軟骨(関節を保護するために必要な軟部組織)が弾力性を失い、関節軟骨がすり減ることで関節が変形する疾患です。
加齢・肥満の他、臼蓋形成不全や先天性股関節脱臼などの先天的な要因によって変形が生じることもあります。
日本人の有病率は1.0~4.3%で、男性は0~2.0%、女性は2.0~7.5%と女性で高くなっています。発症年齢は平均40~50歳といわれています。
主な症状
・立ち上がりや歩き始めに脚の付け根に痛み
・靴下が履きにくくなる、足の爪切りがしづらくなる
検査
問診や診察で関節の動きの制限があるかどうかを確認し、その後股関節の可動域制限やX線写真をみて診断します。
必要に応じてCTとMRIなどの検査を行います。


治療の選び方
- 保存療法
- 運動療法
- 通院
- 週1~2回を3~6か月
- 特徴
- 股関節の疼痛を軽減するために杖を使った歩行など日常生活動作の練習や可動域訓練、筋力強化などを行います。
また、股関節の負担を減らす為に体重管理を行うこともあります。 -
・可動域訓練
関節の動きや筋肉の柔軟性改善などの機能改善を図ります。
理学療法士によって行う方法と患者さん自身で行う方法があります。 -
・筋力強化運動
股関節周囲の筋肉を鍛えることで、股関節の安定した動きを習得します。 -
・日常生活動作練習
立ち座りや歩行などの動作の練習をします。痛みが生じにくい姿勢や、関節に負担のかからない動作の練習をします。
理学療法士による関節可動域訓練
筋力訓練のセルフトレーニング -
・その他
薬物療法
薬を服薬することによって痛みをコントロールします。
医師の指示のもとで適度に服用することで疼痛をコントロールし、生活の質の向上に繋がります。
温熱療法
温めることで股関節周囲の血行を改善し、痛みを和らげます。
- 手術療法
-
- 対象
- 保存療法で改善しなかった方、関節の変形が著しい方
- 内容
- 全人工股関節置換術
- 特徴
- 変形した関節を、金属やポリエチレンでできた人工関節に入れ替える手術です。
関節の変形による痛みがなくなり、歩行などの日常動作が改善されます。年齢や骨の形状、などによって骨セメントを使用するか、使用せずに骨に直接固定する方法があります。

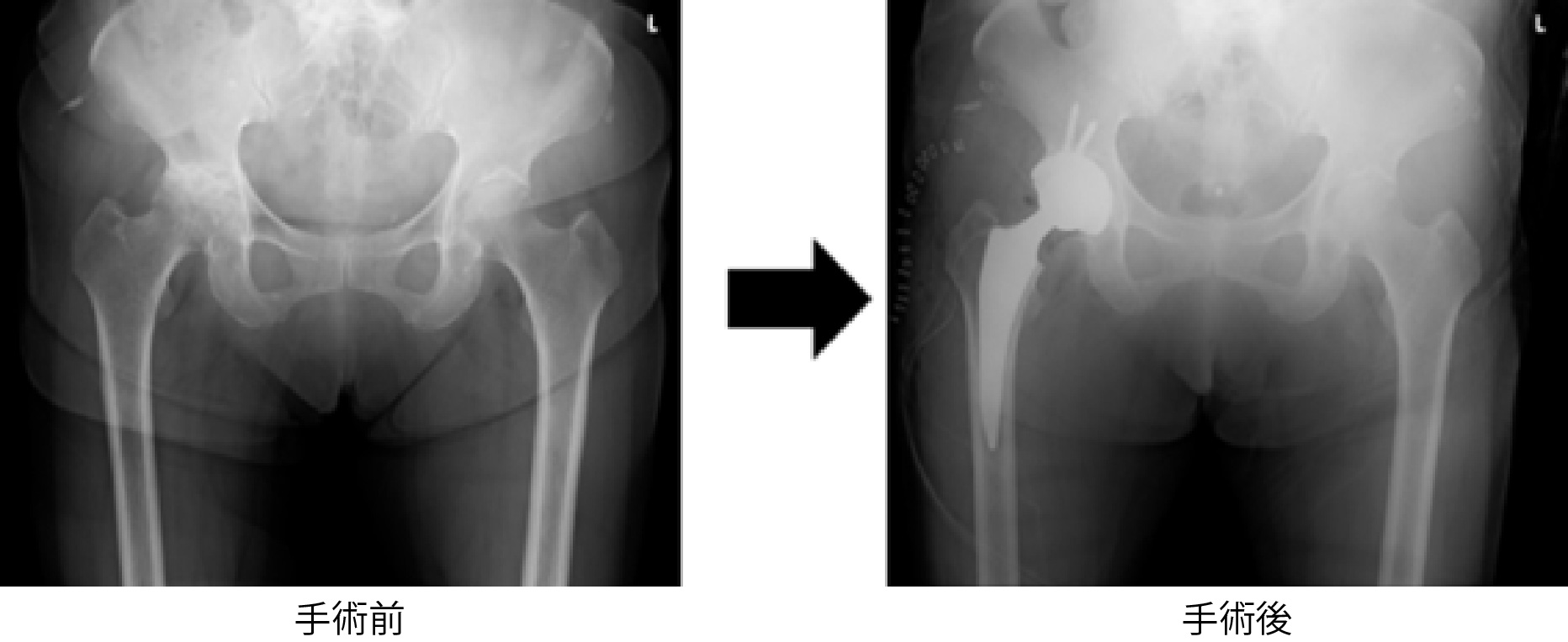
変形性股関節症に対する全人工股関節置換術
手術後のリハビリの流れ
- 術前
- 上記の保存療法のリハビリテーションに加えて、手術後に必要な動作の確認などを行います。車いす駆動、歩行器歩行、手術後の危険動作などの確認をして練習をします。
- 手術~3週
頻度:休日を除いて、毎日
手術後は運動療法を中心にリハビリを行います。
手術の翌日から開始し、痛みの程度に合わせて無理のない範囲で体を動かしていきます。早期からの運動は、痛みや関節のこわばりを軽減し、機能回復を促すうえでとても大切です。手術部位だけでなく体力維持のために膝や腹筋の運動も同時に行います。
関節が硬くなりやすい屈曲(脚を上げる)、外転(脚を開く)、外旋(脚を外側にひねる) といった動きを中心に可動域訓練を行い、特に靴下を履く動作は制限されやすいため重点的に練習します。 歩行練習は歩行器から始め、杖歩行、独歩へと段階的に進めていき、安全に歩けるようになるまでスタッフがサポートします。退院が近づくと、階段昇降や入浴、床上動作などの日常生活動作を練習し、脱臼を防ぐための注意点もお伝えします。
退院後も外来リハビリテーションを継続して受けていただけるため、入院から退院後まで一貫したサポート体制で安心して回復を目指すことができます。※実際には一人一人の症状より変更があります。
-
靴下履き動作の練習
歩行器歩行練習
入浴動作練習
- 退院後のリハビリ
- 機能回復の程度や目標設定には個人差があるため、各患者さんに合わせたリハビリテーションを進めていきます。リハビリの頻度は週1~2回としており、改善が見られれば徐々に回数を減らしています。
また、通所リハビリテーションもありますので、患者さまに合わせたリハビリテーションを提供しています。
よくある質問(Q&A)
- Q1保存療法の場合は週に何回通いますか?
- 自宅で行える運動療法を指導しますので、週1回の通院が多いです。
- Q2手術療法の場合、入院期間はどれくらいですか?
- 約3~4週間です。
- Q3手術後は気をつける事はありますか?
- 脱臼しないように行って良い動作を覚える事が大切になります。また、人工関節の寿命を延ばすために歩行より股関節への負担が高い動作は控えることが重要です。
変形性股関節症
痛みを軽くし、歩きやすさを取り戻す
保存療法~手術後リハまで一貫支援
対象:中高年・立ち仕事・スポーツ歴のある方
「こんな症状はありませんか?」
- 立ち上がるときに膝がズキッと痛む
- 階段の上り下りがつらい
- 膝がまっすぐ伸びにくい
- 正座やしゃがみこみが難しい
- 最近、歩く距離が減ってきた
いくつか当てはまる場合は変形性膝関節症の可能性がありますので受診をお勧めします。
当院の強み・特徴
・理学療法士による個別リハを実施し、膝痛の原因を動作・姿勢から分析。3~5か月での改善を目指します。
・骨癒合を促進する体外衝撃波治療を骨切り術後ほぼ全例に導入。骨癒合の遅れを予防し、復帰を早めます。
・スポーツ・仕事復帰までを支援し、保存療法〜HTO〜TKAの一貫管理で、「動ける膝」を長期的に守ります。
OAとは
・関節軟骨が弾力性を失い、使いすぎることで関節軟骨がすり減り関節が変形します。
・肥満、加齢、膝関節に負担のかかる仕事などの素因にも関与して生じることがあります。
・骨折や靭帯損傷、半月板損傷など外傷後の後遺症として発症することもあります。
・半月板や骨病変はレントゲンなどでは判断できずMRIでしか確認できないため、早期の診断・受診が必要になります。
主な症状
・膝の痛み(立ち上がり・歩き始め・階段昇降時)
・腫れ、熱感
・O脚変形や膝の曲げ伸ばしが困難
原因とリスク
・加齢・肥満・外傷・中腰姿勢やしゃがみ動作の繰り返し。
MRIで確認されるBMLや内側半月板後根断裂(MMPRT)は進行の引き金となるため早期受診が重要です。
検査と診断の流れ
- 問診・診察
- 痛みの場所や経過、日常生活で困っていることをうかがい、実際に関節の動きや腫れ・圧痛などを診察します。
- レントゲン検査(X線)
- 骨や関節の変形の程度を確認し、変形性関節症の進行度を K-L分類 を用いて評価します。
- MRI検査
- レントゲンでは分からない
・軟骨の損傷
・半月板の断裂
・骨の中のむくみ(BML:骨髄病変) などを詳しく確認します。
(K-L分類:X線画像より変形性膝関節症の重症度を判定する方法です)
治療の選び方
- 保存療法
-
- 対象
- 膝の変形が軽症〜中等度の方、日常生活に支障が軽度の方
- 通院
- 週1〜2回、3〜5ヵ月
- 内容
- 筋力強化・ストレッチ・姿勢指導など
- 特徴
- 痛みの軽減や再発予防に取り組みます。運動は自宅でも継続していただき、 膝への負担を軽減するためにも、体重管理や杖を使うことも重要になります。
- 注射・薬物療法
-
- 対象
- 保存療法で改善が乏しい方、腫脹や疼痛が強い方
- 内容
- 症状に応じてヒアルロン酸またはステロイドを選択
- 特徴
- 痛みや炎症を抑える効果があります。しかし、効果は一時的であり、根本的な治療にはなりません。また保存療法と併用し行うこともあります。
- 手術療法(HTO/TKA)
-
- 対象
- 保存療法や注射、薬物療法の効果が乏しく、膝の変形が重度の方、可動域制限や疼痛が強い方
- 内容
- 骨切り術、人工関節置換術
- 入院
- 3~4週間
- 特徴
- 保存療法から術後の入院リハ、外来リハまで当院で実施する途切れのないフォロー体制を整えています。骨切り術後は体外衝撃波を使用することにより骨癒合の遅れを予防し、復帰を早めます。

骨切り術:HTO 
人工関節:TKA
リハビリの流れ
- 0〜2週
- 炎症を抑え、痛みを軽減。正しい姿勢を習得。
- 〜6週
- 膝周囲筋の筋力強化。歩行練習。
- ~3か月
- 可動域改善・体幹安定化。日常動作の再獲得。
- ~6か月
- 趣味や軽運動への復帰。再発予防トレーニング。
【自宅でできる運動:膝伸展トレーニング】
膝の下に5cm程度のクッションを入れて、クッションを押しつぶすように、膝の内側に5秒間力を入れる。10回×3セット/朝夕夜。
よくある質問(Q&A)
- Q1膝が痛いときは歩いてもいいですか?
- 膝が痛いときは無理して歩かず、エアロバイクなどの膝に負担のかからない運動をしましょう。杖やウォーキングポールなどを活用しましょう。
- Q2保存療法で治らない場合は?
- 5か月で改善が乏しい場合はHTO/TKAを検討しましょう。
- Q3手術をしたらどのくらいで歩けますか?
- 1〜2日で歩行訓練開始、約3〜4週間で退院となります。
- Q4術後はしゃがみ込みや正座は可能ですか?
- 人工関節の場合、正座はできません。骨切り術の場合はしゃがみ込みや正座、スポーツにも復帰可能です。
- Q5一度手術をすれば再発しませんか?
- HTOは抜釘、TKAは15〜20年後に再置換の可能性があります。
リハビリテーション
- 保存療法でのリハビリテーション
-
- 可動域訓練
- 筋力強化の運動
- 日常生活動作の練習


- 手術前のリハビリテーション
- 保存療法のリハビリテーションに加えて、手術予定の下肢の荷重を管理する練習をすることもあります。そのため、松葉杖歩行などの練習をすることがあります。


- 手術後のリハビリテーション
- 手術後は患部の回復の阻害にならないように運動療法を行っていきます。
退院後も外来リハビリテーションがありますので、一貫した治療を受けていただけることが可能です。
また、春日井整形外科やデイケアもありますので、患者さまに合わせたリハビリテーションを提供しています。 



- 退院後リハビリテーション
- 機能回復の程度や目標設定には個人差があるため、各患者さんに合わせたリハビリテーションを進めていきます。リハビリテーションの頻度は週1~2回としており、改善が見られれば徐々に回数を減らしています。


