手の痛み・しびれについて
物をつかみにくい、力が入らない、指が引っかかる——。
手は、細かい動作や感覚が求められる繊細な器官です。
そのため、わずかな痛みやしびれ、動きの悪さでも放置すると、仕事や家事、趣味などに大きな影響を及ぼすことがあります。
・ばね指(弾発指):指の曲げ伸ばしの際に“カクッ”と引っかかる
・手根管症候群:手のしびれや痛み、指の動かしづらさ
・ドケルバン病(腱鞘炎):親指の付け根の痛み
・へバーデン結節・ブシャール結節:指の関節が腫れて変形する
適切な治療やリハビリを受けることで、日常動作の改善が期待できます。
当院では、手外科の専門医と作業療法士が連携し、患者様一人ひとりに合わせた治療を行っています。
- 主な対象疾患
- 日本手外科学会ホームページへ
- 代表的な疾患


各病態
ばね指(腱鞘炎)
痛みとこわばりから解放され、指本来の動きを取り戻しましょう
手外科専門医と手のリハビリ(ハンドセラピィ)が治療をお手伝いします
「こんな症状はありませんか?」
- 指の曲げ伸ばしで痛みを感じる
- 指の付け根(手のひら側)にしこりや腫れがある
- 指を曲げたあと伸ばすときに「カクッ」と引っかかる
- 指がスムーズに動かない・途中で止まる
- 指が伸びきらない、または曲げられない
いくつか当てはまる場合は、ばね指の可能性がありますので受診をおすすめします。

当院の強み・特徴
1.手外科専門医が在籍
名古屋大学医学部附属病院に所属する手外科専門医が診察・治療を担当。
最新の医学知識と技術で、手や指の疾患を正確に診断し、手術を含めた最適な治療を行います。
2. 専門的なハンドセラピィで早期回復
日本ハンドセラピィ学会の研修を受けた作業療法士が在籍。
患者様一人ひとりに合わせた専門的なリハビリプログラムで、早期回復と再発防止をサポートします。
3. 患者様に寄り添った治療
当院では、患者様の症状と生活背景を丁寧に理解し、医師と作業療法士が連携して治療を実施。「生活で使える手」の回復を目指します。
ばね指とは
「ばね指(弾発指)」は、指を曲げ伸ばしする際に引っかかりや痛みが生じる病気です。
指の付け根にある「腱(けん)」が通るトンネルの部分(腱鞘)が炎症を起こし、腱がスムーズに動かなくなることで発症します。
炎症によって腱が腫れたり、トンネルが狭くなると、指を曲げたあとに「カクッ」「パチン」とばねのように動くのが特徴です。
症状が進むと、指が曲がったまま伸びにくくなることもあります。
主な症状
・指の付け根の痛みや腫れ、しこり
・指の曲げ伸ばしの引っかかり
・朝起きたときのこわばり
・指が曲がったまま動かしにくい
よくみられる部位・原因
・親指・中指・薬指に多く発生します。
・手をよく使う方や女性、糖尿病の方に起こりやすい傾向があります。
治療の選び方
- 保存療法
- 安静・アイシング・薬物療法・ステロイド注射・サポーターやテーピングなど
-
- 適応
- 初期症状で腱鞘の炎症が軽度の場合。
- メリット
- 手術を避けられ、リスクが少ない。
- デメリット
- 完全に回復しない場合がある。再発の可能性もある。
- 注意点
- 長期間の治療が必要になる場合があるため、根気強い対応が求められる。
- 手術療法
-
- 適応
- 保存療法で効果がない場合や進行した症状。
- メリット
- 高い治療効果、長期的に症状が改善されやすい。
- デメリット
- 手術後に短期間の安静が必要、手術跡が残る可能性がある。
- 注意点
- 手術の後、リハビリや手の使い方に注意が必要。
リハビリの流れ
症状や状態に応じて、対応方法が異なります。
- 急性期(炎症期・受傷直後・手術直後)
- 安静・固定(テーピングや装具)
痛みや腫れの管理(薬物療法)
他の関節(肩・肘・患指以外の手指など)の運動を維持
- 回復期(固定除去後・症状の軽快後・手術後)
- 手指の可動域訓練
筋力訓練(握力回復・つまみ動作など)
- 生活復帰期
- 仕事・家事など日常動作に必要な指の動きの訓練
再発防止のための使い方指導
よくある質問(Q&A)
- Q1どんな人に多いですか?
- 家事や仕事で手をよく使う方、更年期以降の女性、糖尿病のある方に多く見られます。
特に親指・中指・薬指によく起こります。
- Q2治療はどんなことをしますか?
- 症状の程度により、保存療法(安静・薬・注射・装具など)・手術療法(腱の通り道を広げる処置)を行います。当院では手外科専門医が正確に診断し、最適な治療法をご提案します。
- Q3手術はどんな流れですか?
- 局所麻酔で10〜20分ほどの日帰り手術です。
手術後は必要に応じてハンドセラピィによるリハビリで、早期の回復と再発防止をサポートします。
- Q4どのくらいで治りますか?
- 軽い場合は数週間〜数か月で改善することが多く、手術後も数週間で日常生活に戻れる方が多いです。
- Q5受診や相談はどうすればいいですか?
- 当院は予約制です。初めての方もお気軽にお電話からご予約ください。
他院で治療中の方のセカンドオピニオンも対応しています。
手根管症候群
しびれや痛みを和らげ、手の感覚と動きを取り戻しましょう。
手外科専門医と手のリハビリ(ハンドセラピィ)が治療をお手伝いします
「こんな症状はありませんか?」
- 親指・人差し指・中指・薬指の半分がしびれる
- 手を振るとしびれや痛みが軽くなる
- 親指の付け根(母指球)がやせてきた気がする
- 小指にはしびれがない
- 手を使うとしびれや痛みが強くなる
いくつか当てはまる場合は、手根管症候群の可能性がありますので受診をおすすめします。

当院の強み・特徴
1. 手外科専門医が在籍
名古屋大学医学部附属病院に所属する手外科専門医が診察・治療を担当。
最新の医学知識と技術で、手や指の疾患を正確に診断し、手術を含めた最適な治療を行います。
2. 神経伝導速度検査による精密診断
手や指のしびれ・力の入りにくさを、神経伝導速度検査で詳しく評価します。
神経の障害部位を正確に特定し、一人ひとりに最適な治療計画を立てます。

3. 専門的なハンドセラピィで早期回復
日本ハンドセラピィ学会の研修を受けた作業療法士が在籍。
患者様一人ひとりに合わせた専門的なリハビリプログラムで、早期回復と再発防止をサポートします。
4. 患者様に寄り添った治療
当院では、患者様の症状と生活背景を丁寧に理解し、医師と作業療法士が連携して治療を実施。「生活で使える手」の回復を目指します。
手根管症候群とは
手根管症候群は、手首の中を通る「正中神経」が圧迫されて起こる病気です。
手首には「手根管」と呼ばれるトンネル状の空間があり、その中を神経や腱が通っています。
この部分で炎症や腫れが起こると、神経が圧迫され、しびれや痛み、筋力低下が生じます。
主な症状
・親指・人差し指・中指・薬指の一部がしびれる
・夜間や朝方にしびれ・痛みが強くなる
・手を振ると症状が一時的に軽くなる(手振りサイン)
・親指の付け根(母指球)がやせて、つまみ動作がしにくくなる
・小指にはしびれが出ないのが特徴です。
原因
・手の使いすぎ(パソコン・家事・スマホなど)
・更年期・妊娠・出産などのホルモン変化
・加齢や糖尿病、リウマチなどの持病
・手首の骨折や腫れなどによる圧迫
治療の選び方
- 保存療法
- 安静・サポーター・姿勢や動作の改善など
-
- 適応
- 体への負担が少なく、継続が重要
初期段階の軽度のしびれや痛みがある場合。
- メリット
- 手術のリスクが避けられ、回復する場合もある。
- デメリット
- 症状が改善しないことがある。再発することも。
- 注意点
- 神経への圧迫が続くと症状が悪化する恐れがあるため、早期の対応が必要。
- 手術療法
-
- 適応
- 保存療法で改善しない、または症状が重度な場合。
- メリット
- 症状が増悪することを予防できる。症状が改善することもある。
- デメリット
- 手術後のリハビリが必要になることもある。手術跡が残ることがある。
- 注意点
- 手術しても指の動きや感覚の回復には時間がかかる。
リハビリの流れ
- 急性期(炎症期・受傷直後・手術直後)
- 安静・固定(装具など)
痛みや腫れの管理(薬物療法・手の挙上)
他の関節(肩・肘・手指など)の運動を維持
- 回復期(固定除去後・症状の軽快後・手術後)
- 手指・手関節の可動域訓練
筋力訓練(握力回復・つまみ動作など)
- 生活復帰期
- 仕事・家事など日常動作に必要な指の動きの訓練
再発防止のための使い方指導
神経機能の回復に応じて段階的に手の使い方を指導
よくある質問(Q&A)
- Q1どんな人に多いですか?
- 手をよく使う方(家事・育児・パソコン作業など)や、更年期・妊娠中の女性に多く見られます。
また、糖尿病やリウマチなどの持病がある方にも起こりやすい傾向があります。
- Q2どんな検査をしますか?
- 当院では神経伝導速度検査を行い、神経のどこで圧迫されているかを詳しく調べます。
この検査により、最も適した治療法を正確に判断できます。
- Q3治療法にはどんなものがありますか?
- 症状の程度により、次のような治療を行います。
保存療法:安静・サポーター・薬・注射など
手術療法:神経を圧迫している部分を広げる手術
手外科専門医が診断し、最適な治療を行います。
- Q4手術はどんな内容ですか?
- 近年は関節鏡を用いた低侵襲の鏡視下手根管開放術が多く、手術翌日には退院です。
手首の一部を開いて神経の通り道を広げ、圧迫を解除します。
手術後は、必要に応じて専門の作業療法士によるリハビリで回復と再発防止をサポートします。
- Q5しびれは治りますか?
- 基本的にはしびれの進行を防ぐ目的で行われますが、手術後にしびれや痛みが軽くなる方も見えます。
ただし、症状が長く続いていた場合は、神経の回復に時間がかかることもあります。
手指の骨折・靭帯損傷
手や指のケガも、正確な診断と適切な治療でしっかり回復
手外科専門医と手のリハビリ(ハンドセラピィ)が治療をお手伝いします
「こんな症状はありませんか?」
- 指が腫れている・強く痛む
- 曲げ伸ばしができない/しにくい
- 指の形が変わって見える
- 押すと強く痛む場所がある
- 青あざや内出血が出ている
- 数日たっても痛みや腫れが引かない
いくつか当てはまる場合は、「突き指だから大丈夫」と思わず、骨折や靭帯損傷の可能性がありますので受診をおすすめします。
当院の強み・特徴
1. 手外科専門医が在籍
名古屋大学医学部附属病院に所属する手外科専門医が診察・治療を担当。
最新の医学知識と技術で、手や指の疾患を正確に診断し、手術を含めた最適な治療を行います。
2. 専門的なハンドセラピィで早期回復
日本ハンドセラピィ学会の研修を受けた作業療法士が在籍。
患者様一人ひとりに合わせた専門的なリハビリプログラムで、早期回復と再発防止をサポートします。
3. 患者様に寄り添った治療
当院では、患者様の症状と生活背景を丁寧に理解し、医師と作業療法士が連携して治療を実施。「生活で使える手」の回復を目指します。
手や指のケガ(骨折・靭帯損傷)について
手指のけがは、スポーツや転倒、物をつかんだ際の衝撃など、日常のさまざまな場面で起こります。
見た目は軽い「突き指」でも、骨折(こっせつ) や 靱帯損傷(じんたいそんしょう)、腱断裂(けんだんれつ) が隠れていることがあります。
主な症状は腫脹(しゅちょう:腫れ)、疼痛(とうつう:痛み)、可動域制限(かどういきせいげん:動かしにくさ)、変形などです。
放置すると関節の変形や可動域の制限が残ることもあります。
受傷後に痛みや腫れが強い場合、また数日経っても改善しない場合は、早めに整形外科や手外科専門医の受診をおすすめします。
主な症状
・指が腫れて痛む
・動かしにくい/曲げ伸ばせない
・押すと強い痛みがある
・指の形が変わっている
・青あざや内出血が出ている
主な原因
・突き指や転倒、ボールが当たったなどのケガ
・ドアに挟む・重い物を落とすなどの打撲
・スポーツ中の衝撃やひねり
・家事・仕事中の不意な衝突や捻挫


治療の選び方
- 保存療法
- 安静・アイシング・ギプスなどによる固定・痛み止めの薬・テーピングなど
-
- 適応
- 骨折が軽度で、ずれが少ない場合。安定している骨折や軽度の靭帯損傷。
- メリット
- 手術を避けられる。入院や大きな手術が不要。
- デメリット
- 治癒に時間がかかる可能性がある。
- 注意点
- 骨や関節がずれたり変形するリスクがある。動きが悪い場合はリハビリも行う。

- 手術療法
-
- 適応
- 骨折がずれている、靭帯損傷がひどい場合、保存療法で回復しない場合。
- メリット
- より早期に安定した状態で回復が期待できる。変形を防げる。
- デメリット
- 手術によるリスク、再手術が必要な場合がある。
- 注意点
- 手術後の回復にはリハビリが必要で、適切な時期に負荷をかけることが大切。

リハビリの流れ
症状や状態に応じて、対応方法が異なります。
- 急性期(炎症期・受傷直後・手術直後)
- 安静・固定(テーピングや装具)
痛みや腫れの管理(アイシング・薬物療法・手の挙上)
他の関節(肩・肘・未損傷の指など)の運動を維持
- 回復期(固定除去後・症状の軽快後・手術後)
- 手指の可動域訓練
筋力訓練(握力回復・つまみ動作など)
- 生活復帰期
- 仕事・家事など日常動作に必要な指の動きの訓練
再発防止のための使い方指導
よくある質問(Q&A)
- Q1突き指だと思っても病院に行ったほうがいいですか?
- はい。見た目が軽くても、骨折や靭帯損傷、腱の断裂が隠れていることがあります。
腫れや痛みが強い、曲げ伸ばしがしにくい、指の形が変わって見える場合は、早めの受診をおすすめします。
- Q2どんな症状があったら注意ですか?
- 以下のような症状がある場合は、骨や靭帯の損傷が疑われます。
・指が腫れて強く痛む
・曲げ伸ばしができない
・指の形が変わっている
・押すと強い痛みがある
・青あざや内出血が出ている
数日たっても痛みや腫れが引かない場合も要注意です。
- Q3どんな治療をするのですか?
- 症状に応じて、保存療法または手術療法を行います。
保存療法:安静、固定、アイシング、テーピングなど
手術療法:骨のずれや靭帯の損傷が大きい場合に実施します。
当院では、手外科専門医が正確に診断し、最適な治療方法をご提案します。
- Q4手術が必要になるのはどんなときですか?
- 骨がずれている場合や、靭帯が完全に切れている場合は、手術が必要になることがあります。
早期に安定した状態を作ることで、変形や後遺症を防ぎ、より良い回復が期待できます。
- Q5治ったあと、リハビリは必要ですか?
- はい。ケガが治っても、指が動かしにくくなったり、関節が固くなることがあります。
当院では、ハンドセラピィ専門の作業療法士が、可動域回復や再発防止のためのリハビリを行います。
- Q6どのくらいで治りますか?
- ケガの程度によって異なりますが、適切な処置をしたうえで一般的には骨折は1か月半~2か月程度、靭帯は2か月程度で日常生活に耐えられる程度に回復すると言われています。
医師とリハビリスタッフが連携し、無理のない回復をサポートします。
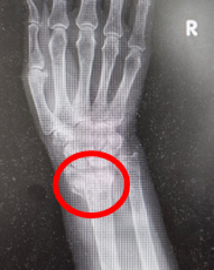
橈骨遠位端骨折
骨を治すだけでなく、“動きを取り戻す”治療
手外科専門医と手のリハビリ(ハンドセラピィ)が治療をお手伝いします
「こんな症状はありませんか?」
- 手首の親指側が腫れて痛い
- 動かすと強く痛む
- 物を持てない・力が入らない
- 手首の形が変わって見える
- 転倒して手をついたあとから痛みが続く
「捻挫だと思っていたら骨折だった」ということも少なくありません。
いくつか当てはまる場合は、橈骨遠位端骨折の可能性がありますので受診をおすすめします。
当院の強み・特徴
1. 手外科専門医が在籍
名古屋大学医学部附属病院に所属する手外科専門医が診察・治療を担当。
最新の医学知識と技術で、手や指の疾患を正確に診断し、手術を含めた最適な治療を行います。
2. 専門的なハンドセラピィで早期回復
日本ハンドセラピィ学会の研修を受けた作業療法士が在籍。
患者様一人ひとりに合わせた専門的なリハビリプログラムで、早期回復と再発防止をサポートします。
3. 患者様に寄り添った治療
当院では、患者様の症状と生活背景を丁寧に理解し、医師と作業療法士が連携して治療を実施。「生活で使える手」の回復を目指します。
橈骨遠位端骨折とは
橈骨遠位端骨折は、手首の骨(橈骨)の先端部分が折れる骨折です。
転倒して手をついたときに多く発生し、特に中高年の女性や骨粗しょう症のある方に多く見られます。
見た目は軽い捻挫のようでも、実際には骨折していることがあり、適切な治療を行わないと手首の変形や可動域の制限が残る場合があります。
早期の診断と治療が大切です。
主な症状
・手首の腫れや強い痛み
・手首を動かせない、物を持てない
・手首の変形(手の甲が盛り上がって見える)
・押すと強く痛む部位がある
・指先のしびれや感覚の鈍さ
主な原因
・転倒して手のひらをついたときの衝撃(最も多い)
・スポーツ中の転倒や接触プレー
・自転車や階段での転落・転倒
・骨粗しょう症による骨の脆弱化

治療の選び方
- 保存療法
- 整復(骨の再配置)・ギプス固定・痛み止めの薬など
-
- 適応
- 骨折が軽度で、整復可能な場合。
- メリット
- 手術のリスクが避けられる。通院で済むことが多い。
- デメリット
- 長期にわたりギプスや固定具で手を動かせない。
- 注意点
- 動きが悪い場合はリハビリも行う。
- 手術療法
-
- 適応
- 骨折がずれている、または固定が難しい場合。
- メリット
- より早い回復が見込める。手首の機能を保つ可能性が高い。
- デメリット
- 手術による感染リスクや、手術跡が残る可能性がある。
- 注意点
- 手術後の適切な固定とリハビリが必要。

リハビリの流れ
症状や状態に応じて、対応方法が異なります。
- 急性期(炎症期・受傷直後・手術直後)
- 安静・固定(テーピングや装具)
痛みや腫れの管理(アイシング・薬物療法・手の挙上)
他の関節(肩・肘・手指など)の運動を維持
- 回復期(固定除去後・症状の軽快後・手術後)
- 手指・手関節の可動域訓練
筋力訓練(握力回復・つまみ動作など)
- 生活復帰期
- 仕事・家事など日常動作に必要な指の動きの訓練
再発防止のための使い方指導
よくある質問(Q&A)
- Q1橈骨遠位端骨折とは?
- 手首の親指側の骨(橈骨の先端部分)が折れる骨折です。
転倒して手をついたときに起こることが多く、特に中高年の女性や骨粗しょう症のある方に多く見られます。
- Q2保存療法と手術療法の違いは?
-
保存療法:骨が大きくずれていない場合に、ギプスや装具で固定して自然に骨がくっつくのを待つ方法です。
手術療法:骨が大きくずれている場合や関節面にずれがある場合に、プレートやピンで骨を固定して整復します。
- Q3どんな治療をするのですか?
-
保存療法:約4~6週間の固定。その後リハビリで手首の動きを回復します。
手術療法:骨折の状態にもよりますが、手術後1~2か月で日常生活に復帰可能。完全な回復にはさらに時間がかかることがあります。


